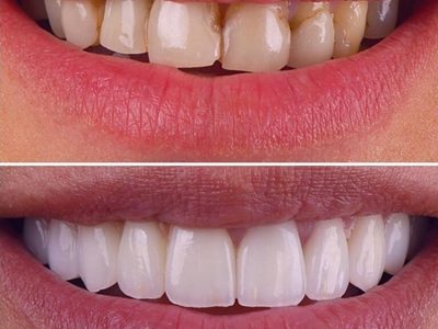
What You Need to Know About a Dental Prosthetics Laboratory
A dental prosthetics laboratory specializes in creating and customizing dental prosthetics, such as crowns, bridges, dentures, and implants. Here’s what you might want to know: What Services Do Dental Prosthetics …




















